The image shows a modern, well-lit office interior with a large desk area in the foreground and a reception counter to the right.

Smile Gallery

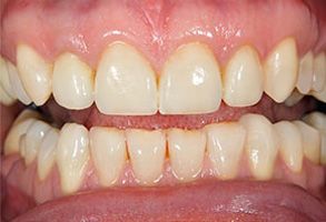
The image shows a person s smile with yellowish-brown teeth, which suggests the need for dental care or treatment.

Before

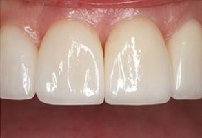
The image shows a close-up of a person s mouth with a bright, white smile, displaying straight, well-maintained teeth and gums.

After

The image shows a close-up of a person s teeth, which appear to be a before and after comparison of dental work with a focus on the upper front teeth.

Before

The image shows a close-up of a person s teeth with yellowing, indicating the need for dental care.

After

The image shows a close-up of a person s face with an exaggerated smile, showcasing teeth and lips.

Before

The image shows a close-up of a person s smiling mouth with white teeth, and the person appears to be wearing lipstick or lip balm.

After

The image shows a close-up of a person s mouth with crooked teeth, gum disease, and a partial denture on the lower left side.

Before

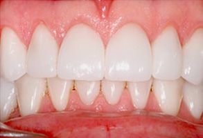
The image shows a close-up of a person s teeth, with the focus on a set of white, straight teeth.

After

The image shows a close-up of a person s teeth with a focus on the lower front teeth, which are prominently displayed.

Before

An image of a person s teeth with a focus on the front, showcasing a bright smile and dental implants.

After

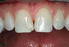
Dental implant with a porcelain crown on the upper front tooth.

Before

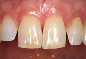
The image shows a close-up of a person s teeth with a focus on the front teeth, which appear to be bright and well-maintained.

After

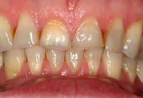
This is a close-up image of a person s mouth with visible dental work, including yellowed teeth and a partial denture.

Before

The image shows a close-up of a person s teeth, with the focus on the upper front teeth which appear to be in the process of being straightened or aligned.

After

Schedule a visit today!
Contact Us
Submit

Thank You!

We appreciate you taking the time to visit our site. We'll review your message and be in touch with you soon.

Continue
An interior view of a modern reception area with a marble countertop, a large abstract wall art, and a contemporary design.